Prof. Dr. Emmez, beyin tümörlerinin her zaman kötü huylu olmadığını ancak yerleşim yerine bağlı olarak ciddi nörolojik kayıplara yol açabileceğini söyledi:
“Sabah saatlerinde artan baş ağrıları, mide bulantısı, kusma, dengesizlik, görme bozuklukları, epileptik nöbetler ve konuşma güçlüğü gibi şikâyetler beyin tümörünün habercisi olabilir. Bu belirtiler fark edildiğinde zaman kaybetmeden uzman bir beyin cerrahına başvurmak gerekir.”

İyi Huylu Tümörler Bile Risk Taşıyor
Tümörlerin primer (beyinden kaynaklanan) ve sekonder (başka organlardan metastaz yapan) olarak ikiye ayrıldığını belirten Prof. Dr. Emmez, iyi huylu tümörlerin bile baskı yaparak ciddi etkiler yaratabileceğini ifade etti. Genetik faktörler, radyasyon maruziyeti ve bazı genetik hastalıkların risk artırıcı etkenler olduğunu söyledi.

Erken Tanı ve Görüntüleme Önemli
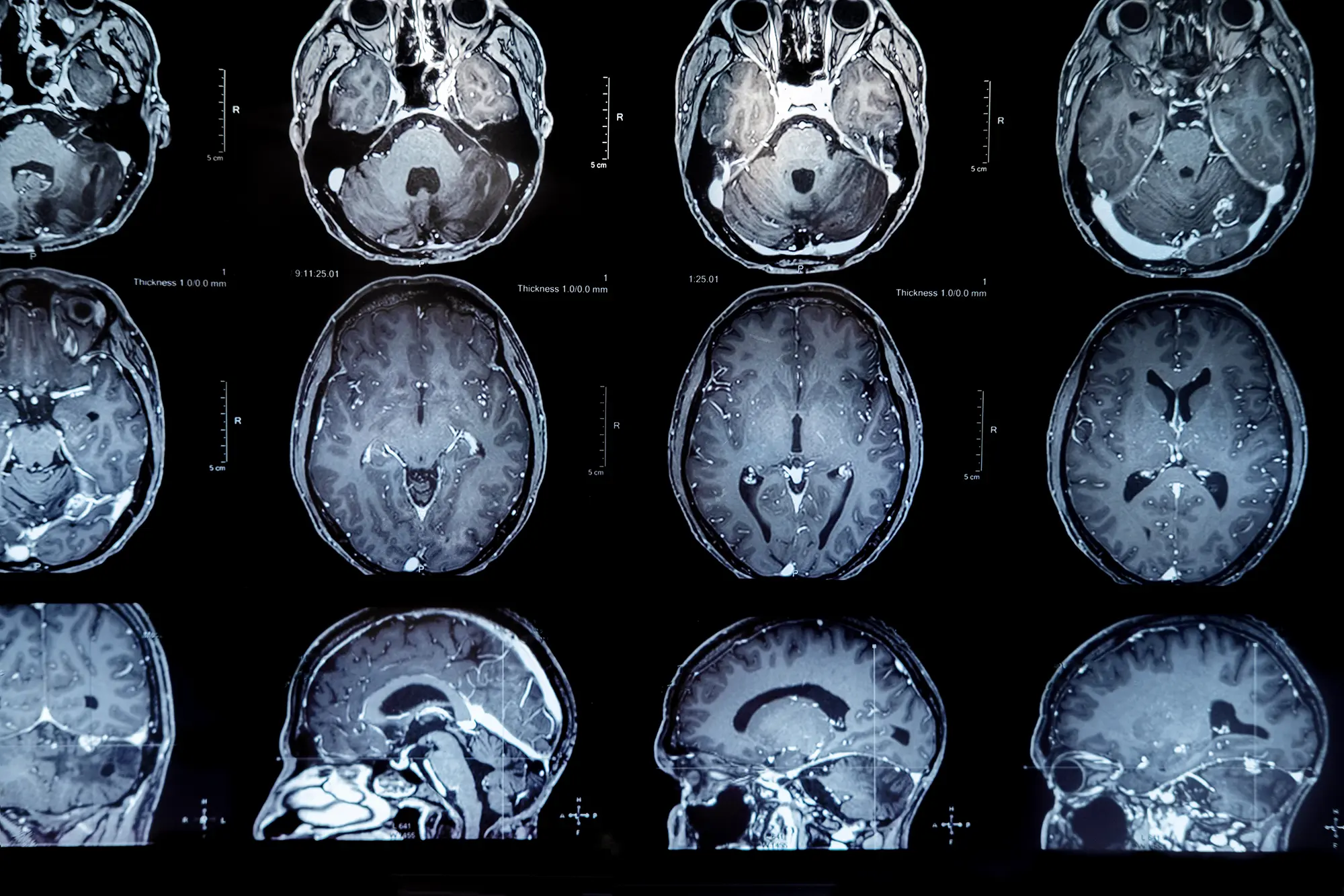
Tanı sürecinde nörolojik muayene sonrası Manyetik Rezonans Görüntüleme (MRG) ve gerektiğinde biyopsi ile tümörün tipi ve derecesinin belirlenebildiğini açıklayan Prof. Dr. Emmez, “Erken tanı tedavi başarısında kritik rol oynar ve kalıcı hasar riskini azaltır” dedi.
Tedavide Multidisipliner Yaklaşım
Beyin tümörlerinde cerrahi, radyoterapi, kemoterapi ve takip süreçlerinin kişiye özel planlandığını belirten Prof. Dr. Emmez, multidisipliner yaklaşımın önemini vurguladı:
“Cerrahi aşamada nöronavigasyon, nöromonitörizasyon ve floresan teknolojileri ile tümör dokusu maksimum düzeyde çıkarılırken sağlıklı beyin dokusu korunur. Her beyin tümörü kötü huylu değildir; bazı türler uzun yıllar takip edilebilir. Gelişen tıp teknolojileri sayesinde tanı ve tedavi artık çok daha güvenli, etkili ve kişiselleştirilmiş şekilde yapılabiliyor.”




