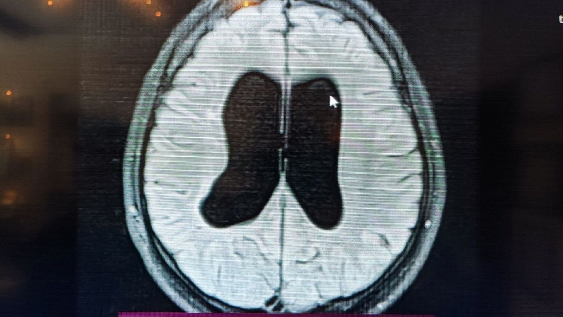
Gaziantep’te dünyaya gelen Hasan Hüseyin İzgüden için doğumdan sonra konulan hidrosefali tanısı, ailesini büyük bir endişeye sürükledi. Bazı hekimlerin “Ameliyat olmazsa ölür” dediği bebek, dede Hüseyin Erdoğan’ın arayışları sonucu Adana’da Prof. Dr. Orhan Şen’e götürüldü. Prof. Dr. Şen’in klinik bulguları doğru yorumlamasıyla ameliyatsız izlem altına alınan çocuk, bugün sağlıklı ve başarılı bir genç olarak eğitimine devam ediyor.
Yanlış ameliyat kararından döndüren muayene
Beyin, Sinir ve Omurilik Cerrahisi Uzmanı Prof. Dr. Orhan Şen, 10 günlükken kendisine getirilen bebeğin öyküsünü şöyle anlattı:
“Doğar doğmaz hidrosefali tanısı konulmuş, acil ameliyat önerilmiş. Ancak muayenede bıngıldak normal seviyedeydi. Anneye kusma durumunu sordum; yalnızca yemek sırasında olduğunu öğrendim. Klinikteki bulgular görüntüleme ile uyumlu değildi. Bu nedenle ‘acil ameliyat gerekmiyor’ dedim. İzlemeyi tercih ettik. Sadece bıngıldakta bombe artışı ve tekrarlayan kusma olursa müdahale edeceğimizi söyledik.”
Prof. Dr. Şen, bebeğin durumunun anne karnındaki süreçten kaynaklandığını ve beyne ek bir baskı yapmadığını belirterek, “Bu bir arrest hidrosefaliydi. Bazı çocuklarda ameliyat yerine izlem çok daha doğru yaklaşımdır” ifadelerini kullandı.
17 yıl sonra gelen başarı hikâyesi
Tedavi süreci boyunca cerrahi müdahaleye ihtiyaç duymayan İzgüden, bugün 17 yaşında ve eğitim hayatında büyük başarılar elde etti. Şen, “İlkokul ve ortaokulu birincilikle bitirdi. Şimdi üniversiteye hazırlanıyor. En önemlisi, doğru tanının hayat değiştiren bir fark yaratabileceğini bir kez daha gördük” dedi.
“Ameliyat olsaydım bugün burada olmayabilirdim”
Lise öğrencisi Hasan Hüseyin İzgüden, Prof. Dr. Şen’e teşekkür ederek şunları söyledi:
“Belki ameliyat olsaydım şu anda çok daha zorlu bir hayatım olacaktı. Şant takılması gerekebilirdi. İyi ki hocam izleme kararını vermiş. Şimdi üniversiteye hazırlanıyorum ve avukat olmak istiyorum.”

“Torunumu kurtaran doğru teşhis oldu”
Dede Hüseyin Erdoğan da o günleri hatırlatarak,
“‘Ameliyat olmazsa ölür’ dediler. Çok doktora gittik ama herkes aynı şeyi söyledi. Orhan Hoca muayene etti ve ‘Bekleyelim, gerekirse ameliyat ederiz’ dedi. Çok şükür ihtiyaç olmadı. Bugün torunum sağlıklı bir genç” diyerek duygularını paylaştı.




